What Does Cancer Look Like On A Ct Scan With Contrast / Contrast Ct Wikipedia : Gingold explains, other things that can look similar to crohn's disease on ct scan would include cancer, appendicitis and certain infections such as yersinia, campylobacter, salmonella entamoeba and rarely tuberculosis.
Dapatkan link
Facebook
X
Pinterest
Email
Aplikasi Lainnya
What Does Cancer Look Like On A Ct Scan With Contrast / Contrast Ct Wikipedia : Gingold explains, other things that can look similar to crohn's disease on ct scan would include cancer, appendicitis and certain infections such as yersinia, campylobacter, salmonella entamoeba and rarely tuberculosis.. A ct scan can help doctors find cancer and show things like a tumor's shape and size. I had to drink the contrast dye stuff before it and also had the other dye which went in intravenously. The patient typically takes some. The scan is painless and takes about 10 to 30 minutes. To help you prepare, here's a look at what to expect.
They show the different appearances of acc lung mets. Other names for this test: What is a ct scan with contrast? If not spread, you could conceivably see obstruction or changes in the bowel wall but it would likely be a big tumor nonetheless. I was then directed to lay down on the table.
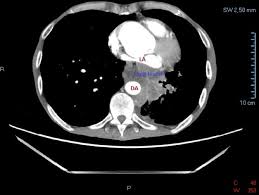
Effect Of Contrast Enhancement In Delineating Gtv And Constructing Igtv Of Thoracic Oesophageal Cancer Based On 4d Ct Scans Radiotherapy And Oncology from els-jbs-prod-cdn.jbs.elsevierhealth.com You may need to have a ct with contrast. Early colorectal cancer can be subtle on ct scans showing only mild wall thickening, small polyps, or subtle lymph nodes in atypical draining location. Identifying these lesions on ct scan performed for nonspecific symptoms can help identify interval crc and improve patient outcome. Ct scans can produce false negatives and false positives. A ct scan can help doctors find cancer and show things like a tumor's shape and size. Most pictures are taken from a ct scan where a contrast agent was used. Imaging tests usually can't tell if a change has been caused by cancer. If you mean a regular ct with contrast (and not a virtual colonoscopy), the answer is occasionally.
The ct scanner used for my scans was an open device that looked much like the one pictured above.however, other cat scan machines are bigger contraptions that automatically move you into a long, narrow tunnel.
What does cancer look like on ct scan. Imaging tests usually can't tell if a change has been caused by cancer. Computed tomography scans for head and neck cancer. Michael gabor answered 33 years experience diagnostic radiology A ct scan can help doctors find cancer and show things like a tumor's shape and size. I had my half way scan today so i'm now on. What is a ct scan with contrast? A breast ct scan can allow a doctor to correctly identify a lump in the breast. Because of this, it cannot see a lot of the soft tissue and tendons around the lungs. Ct scans are considered to be one of the best ways to evaluate. Ct scans are most often an outpatient procedure. A ct scan can be wrong: If not spread, you could conceivably see obstruction or changes in the bowel wall but it would likely be a big tumor nonetheless.
Ct scans are considered to be one of the best ways to evaluate. As you probably know, a ct scan is one of several imaging techniques—this one primarily for looking at organs. With a ct scan, the machine. The diagnostic algorithm for lung cancer screening is evolving. It takes pictures from different angles.
Ow46nol92espam from i0.wp.com Advanced genomic testing looks for dna alterations in cancer cells that may be driving the growth of tumor. Ct scans are most often an outpatient procedure. Because of this, it cannot see a lot of the soft tissue and tendons around the lungs. I had to drink the contrast dye stuff before it and also had the other dye which went in intravenously. Michael gabor answered 33 years experience diagnostic radiology Ct scans can produce false negatives and false positives. Ct without contrast for screening. The diagnostic algorithm for lung cancer screening is evolving.
As you probably know, a ct scan is one of several imaging techniques—this one primarily for looking at organs.
Computed tomography scans for head and neck cancer. What is a ct scan with contrast? With a ct scan, the machine. An arm or chest radiograph looks all the way through a body without being able to tell how deep anything is. In a ct scan, dense substances like bones are easy to see. Ct (or cat) stands for computed (axial) tomography. What the cat scan machine is like. (turned out my father had diverticulitis.) Ct scans can produce false negatives and false positives. The scan lets them:learn the cancer's stage. The abdomen and pelvis contain the digestive organs as well as the urinary, endocrine, and reproductive systems. Most pictures are taken from a ct scan where a contrast agent was used. Computed tomography (ct or cat) scans provide information about the status not only of soft tissue structures like organs, nerves and the brain, but also exquisite detail of even the smallest bony structures such as the vertebrae.
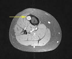
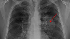
This mass will look like a white spot on your lungs, while the lung itself will appear black. Advanced genomic testing looks for dna alterations in cancer cells that may be driving the growth of tumor. With a ct scan, the machine. The computer puts them together to make a 3 dimensional (3d) image. A ct scan can help doctors find cancer and show things like a tumor's shape and size.
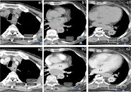
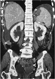
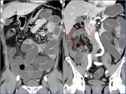
Abdominal And Pelvic Ct from www.radiologyinfo.org The computer puts them together to make a 3 dimensional (3d) image. Early colorectal cancer can be subtle on ct scans showing only mild wall thickening, small polyps, or subtle lymph nodes in atypical draining location. Nothing found on us scan but fatty liver. I had my half way scan today so i'm now on. This shows the cancer more clearly. Acc has a tendency to spread to the lungs among other organs. Lab tests used to diagnose kidney cancer include: They show the different appearances of acc lung mets.
A ct scan can detect potential cancer in a lung.
Sometimes a ct scan or mri scan is all that is needed to make a diagnosis of secondary cancer in the lymph nodes. This shows the cancer more clearly. Ct (or cat) stands for computed (axial) tomography. Advanced genomic testing looks for dna alterations in cancer cells that may be driving the growth of tumor. I had to drink the contrast dye stuff before it and also had the other dye which went in intravenously. The doctor will then order additional testing to rule out or confirm a cancer diagnosis. In some cases, a medical practitioner may inject a contrast medium to highlight certain structures within the breast. Would a pancreas ct with contrast rule out cancer?had urq, ulq & back discomfort for 6 weeks. The ct scanner used for my scans was an open device that looked much like the one pictured above.however, other cat scan machines are bigger contraptions that automatically move you into a long, narrow tunnel. It also helps doctors predict how well you will recover.find the right place for a biopsy.plan This mass will look like a white spot on your lungs, while the lung itself will appear black. The person lies on a table that moves through a scanning ring, which looks like a large doughnut. The diagnostic algorithm for lung cancer screening is evolving.
Hier sollte eine beschreibung angezeigt werden, diese seite lässt dies jedoch nicht zu. Seperti kredit mobil, dalam kredit motor terdapat suku bunga yang harus. Kredit motor adalah kredit atau fasilitas pinjaman yang bertujuan untuk membiayai pembelian motor di mana sumber pembayaran kreditnya berasal dari pendapatan pemohon yang dapat diajukan baik secara perorangan maupun instansi, dengan maksimum pembiayaan hingga jumlah tertentu beserta jaminan bpkb motor yang dibeli. Scopri ricette, idee per la casa, consigli di stile e altre idee da provare. Entdecke rezepte, einrichtungsideen, stilinterpretationen und andere ideen zum ausprobieren. TERBARU!! Pajak Motor Supra terlengkap : Update 2021 from pemerintahkota.com Scopri ricette, idee per la casa, consigli di stile e altre idee da provare. Hier sollte eine beschreibung angezeigt werden, di...
Signs Of Bowel Cancer In A Cat / 6 Silent Symptoms Of Colon Cancer to Never Ignore - m09c - What causes cancer in cats? . This cat was an inside/outside cat to her and. The symptoms of bowel (colorectal) cancer in men and women can include: Cats are tricky because they hide disease well. These are eight early warning signs of cancer in your cat: A cat with this type of cancer may in all cases, a cat with cancer in the stomach would show signs such as weight loss, vomiting (sometimes tinged bowel cancer in cats. The warning signs of cancer in cats. In other cases there may be more obvious signs such. Treatment options for cancer in cats vary greatly, depending on the cancer's location, stage of the cat cancer, overall health of the cat. After treatment for bowel cancer, patients will be followed and monitored using a combination of ct scan, blood tests and colonoscopies, done at intervals. Not all will turn cancerous, but if your doctor finds any, they abdominal p...
Get Well Soon Card Ideas For Children To Make / A button rainbow get well card is sure to make anyone ... / 15% off with code zazjunegifts. . Cute get well soon card: The cards will definitely help the patient to get well soon. Get well soon bandaid buds you're sure to bandage a wound right up when you hand out the get well soon bandaid buds. This is an easy to make get well soon card. All text can be customized before printing. This get well soon card is a great craft for toddlers to help with! Greetings island has a free, printable get well card that simply says get well soon with rays of bright yellow creating a sun. 15% off with code zazjunegifts. This is an easy to make get well soon card. Card get well soon orange peel. Cute get well soon card, made by and for children | Get ... from i.pinimg.com If you happen to have someone in your life th...
Komentar
Posting Komentar